Повреждение коленного сустава редко можно полностью вылечить консервативно. Особенно при выраженных изменениях подобное лечение будет совсем неэффективным. В таких случаях используется эндопротезирование коленного сустава. Оно может выполняться двумя основными методами – частично или тотально. Такие методики используют в клинике в Киеве https://arthroscopy.kiev.ua/эндопротезирование-колена/. И каждая из них имеет свои показания и особенности.
Что такое частичное эндопротезирование колена
Частичное эндопротезирование предполагает замену только поврежденной части коленного сустава. Чаще всего это его внутренний или наружный отдел. Здоровые структуры – связки, хрящ и непораженные отделы – при этом сохраняются.
Метод подходит пациентам, у которых:
- артроз поражает один отдел колена;
- сохранена стабильность связочного аппарата;
- отсутствует выраженная деформация ноги;
- боль локализована и усиливается при нагрузке;
- сохранен достаточный объем движений.
Преимуществами частичного метода считается меньшая травматичность операции и более короткий период реабилитации. Соответственно в процессе хирургического вмешательства возможна меньшая кровопотеря. Однако этот метод подходит не всем и требует точной диагностики.
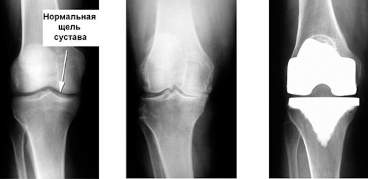
Особенности тотального эндопротезирование колена
При тотальном эндопротезировании выполняется полная замена суставных поверхностей бедренной и большеберцовой костей. При необходимости также устанавливается эндопротез надколенника. Этот метод применяется при распространенном поражении сустава.
Показания к тотальной замене колена:
- выраженный артроз нескольких отделов сустава;
- постоянная боль, сохраняющаяся даже в покое;
- значительное ограничение подвижности;
- деформация конечности;
- неэффективность других методов лечения.
Тотальное эндопротезирование обеспечивает надежное устранение боли и восстановление функции даже в тяжелых случаях. Но одновременно оно требует более длительного восстановления по сравнению с частичной заменой.
Чем отличаются оба метода
Ключевое отличие заключается в объеме вмешательства. При частичном эндопротезировании сохраняется большая часть собственного сустава. А в тотальном сустав заменяется полностью. Это влияет на сроки реабилитации и показания к операции.
Выбор же метода такого протезирования зависит от:
- степени поражения сустава;
- возраста и уровня физической активности пациента;
- состояния связок и костной ткани;
- образа жизни и ожиданий от операции.
Но все же окончательно решение принимает только ортопед-травматолог. Именно такой специалист определяет возможности и методику выполнения эндопротезирования.






